On-Site Denture Lab
Naples Only On-Site Denture Lab
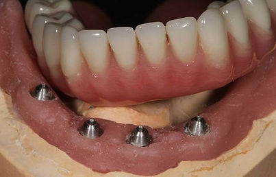
For more than 30 years, the team at Naples Dental has worked to give our patients healthy and beautiful smiles as quickly and conveniently as possible. To better achieve these goals, we are equipped with an in-house dental lab at our Naples, FL, practice. Thanks to this facility, our dentists can perform some same-day services, including denture fabrication and denture repair. Now you can enjoy a fully functioning restoration and a significant boost of self-confidence after just one appointment. In addition, we proudly work with high quality materials, rejecting metal in favor of tooth-colored options. In this way, we can provide lifelike dental restorations that will fit comfortably and match the overall proportions of your face.
There is little to no out of pocket cost for your denture. Most insurance companies will cover at least 50% of the cost of your new denture and some insurance companies will even cover 100%! Naples Dental will file your insurance including Medicaid.
​
We also have financing options available – Call Naples Dental to learn more.
On-Site Denture Lab
We begin by taking your impressions and giving you time to consult with one of our Naples Dental professionals about the results you would like to see. Within a few hours, the lab will have a finished product for you to try on.
You will be able to note any changes that you would like to have made in order to optimize your comfort and appearance. After a quick trip back to the lab, your dentures are all set for you to return to your normal life with the confidence of a brand new smile!
​
We look forward to giving you the smile you’ve always wanted on a timeline that best serves you. Consult with one of our Naples Dental professionals to see if these custom-made dentures or partial dentures may be right for you.








